Metroport Busidence, Bahçelievler Mah. E5 Üzeri, Daire: 502 Bahçelievler / İstanbul
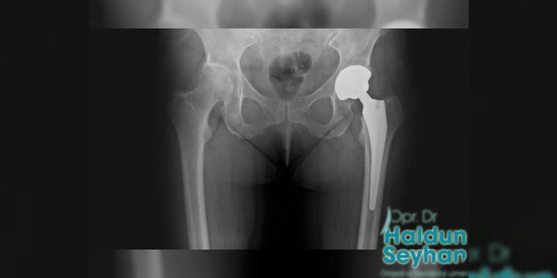
Kalça Protezi Nedir?

Kalça Protezi Nedir?

Kalça Protezi Nedir?

Kalça protezi, çeşitli sebeplerle bozulma yaşanmış eklem yüzeyine yerleştirilen, kobalt-krom veya titanyumdan oluşan ana parçalar olmak üzere, bu parçaların eklemleştiği yerde polietilen, metal ya da seramik parçalardan oluşmaktadır.

Kalça protezi ameliyatlarına gerek duyulan durumlarda hasta, eklem fonksiyonlarının düzgün işlememesi, eklem bölgesinde meydana gelmiş olan deformasyon veya harabiyet durumuyla birlikte ciddi ağrılar yaşamaktadır. Kalça protezi ameliyatı gerçekleştirilmesiyle amaç, hastanın mevcut ağrılarının ortadan kaldırılması ve bozulma yaşanan eklem fonksiyonlarının düzeltilip sağlam hale getirilmesidir.

Kalça Protezinin İşlevi ve Uygulanması

Kalça protezlerinde en iyi ve başarılı sonuçlar alınabilmesi için, öncelikle hasta seçiminin doğru şekilde gerçekleştirilebilmesi gerekmektedir.

Kalça protezlerinin belli bir süresi olduğunu da hesaba katarak diyebiliriz ki, hastanın yaşı ve kilosu yapılacak kalça protezi uygulamasından alınabilecek sonucu en olumlu hale getirebilmektedir. Bu bakımdan doğru hasta seçiminde temel olarak iki nokta bulunmaktadır diyebiliriz;

  • Hastanın yaşı; genellikle 60-65 yaş üstü hastalara uygulanan kalça protezleri, bu yaş aralığının altındaki hastalar için pek tercih edilmemektedir. Ancak genç yaşta olan hastalarda, yaşam kalitesi ve standartlarını ciddi şekilde etkileyen ağrılar gözlemlenmesi durumunda, eğer başka tedavilerden de sonuç alınamamışsa 18 yaşından itibaren kalça protezi uygulanabilmektedir.
  • Hastanın kilosu; kalça protezi uygulanacak hastaların sahip olması gereken kilo sınırı 95 kg olarak ortaya koyulmaktadır. Kilo problemi olan ve başka tedavi yöntemlerinde başarı sağlanamayan hastalarda kalça protezi uygulanabilmektedir.

Kalça protezlerinin uygulanması durumunda başarılı sonuçlar alınabilmesi için bir diğer önemli durum hastaya uygun protez seçimidir. Hastanın eklemlerinde meydana gelen deformasyonların en doğru şekilde tanılanması ve hastanın detaylı şekilde tetkiklerden geçirilmesi, uygulanacak olan kalça protezinden başarılı sonucun alınması ve hastanın iyi şekilde tedavisinin gerçekleştirilmesi açısından önemlidir.

Kalça protezi uygulamasında, en önemli noktalardan birini de cerrahın niteliği oluşturmaktadır. İyi ve deneyimli bir cerrah seçimi, ortopedinin en üst düzey ameliyat grubunda yer alan protez cerrahisinde başarılı sonucu ortaya çıkaracaktır.

Kalça protezi uygulamalarında hayati önem taşıyan noktalardan bir diğeri ise, ameliyat sonrası gerçekleşebilecek komplikasyonların bilinmesinin gerekliliğidir. Ameliyat sonrası gerçekleşebilecek komplikasyonların bilinmesi, zamanında ve yerinde bir müdahale uygulanabilmesi açısından önemlidir.

Hangi Durumlarda Uygulanması Gerekir?

Kalça protezlerinin hangi durumlarda uygulanması gerektiği önemli bir tartışma konusudur. Kalça protezi, ortopedi cerrahisindeki en üst düzey uygulamalardan biridir ve bu sebeple uygulanmasının gerekli olduğu durumlar kadar uygulanma kriterleri de titizlikle gerçekleştirilmelidir.

Genel itibariyle kalça protezinin hangi durumlarda uygulanması gerektiği şu iki ana başlıkla ele alınmalıdır:

  • Hastada devam eden sürekli ve şiddetli ağrının, yaşam standartlarını kısıtlayacak boyutta etkilere ulaşması. Bu durumda hasta ne kadar genç olsa da, artık hareketsizlik üzerine seyreden bir yaşam akışı oluşmaya başlamıştır. Şiddetli ağrılarla sürdürülen ve başka tedavi yöntemlerinin herhangi olumlu bir etki sağlayamadığı hareketsiz bir yaşam akışı, kalça protezi uygulamasını gerekli hatta zorunlu bir hale getirmektedir.
  • Hareketsizlik üzerine kurulan bir yaşam beraberinde, zorunlu olarak sağlık sorunlarını ve aşırı kilo alma gibi sayısız problemi getirmektedir. Bu durumda yaşanan şiddetli ve süregelen ağrılar beraberinde kilo başta olmak üzere çeşitli problemleri getirirken, yaşın genç olmasının pek de bir önemi kalmamakta ve kalça protezi uygulaması, hastayı standart yaşam kalitesine yeniden kavuşturmak için zorunlu hale gelmektedir.

Kalça protezleri, eklem yüzeyinde gerçekleşen bozulmalar sebebiyle eklem fonksiyonlarının olması gerektiği şekilde işleyiş gösterememesi ve hastanın hayatını devam ettirmesini zorlaştıran ciddi boyutta ve süreklilikte ağrılar gözlemlenmesi durumlarında uygulanmaktadır.

Kalça protezi uygulanmadan önce hastalara çeşitli yöntemler uygulanarak şikayetlerin kaynağı ortadan kaldırılmaya çalışılır. Hastaya, fiziksel olarak dinlenme ya da ilaç tedavisi ve bu yöntemlerin yanı sıra fizik tedavi ya da eklem içi enjeksiyonlar uygulanır. Ancak uygulanan bu tedavi yöntemlerine karşın sonuç alınmayan hastalarda kalça protezi uygulanmaktadır.

Kalça protezi uygulamaları, travma sonrası gelişmiş artrit, romatoid artrit, osteonekroz ve femur boyun kırıklarının tedavisinde, normal şartlarda genç yaşta hastalara uygulanması uygun görülmese de gerçekleştirilmektedir.

Uygulamanın Etkileri Nelerdir?

Kalça protezi uygulanan ameliyatlar öncesinde, hastanın en titiz tetkik süreçlerinden geçmesi ameliyat esnasında oluşabilecek semptomların önüne geçilmesi açısından oldukça önemlidir.

Kalça protezi ameliyatından önce, enfeksiyon oluşma riskine karşı hastada antibiyotik tedavisi uygulanmaya başlanmalıdır. Kalça protezinin vücut tarafından kabul edilmesini hızlandıracak olan antibiyotik tedavisi, ameliyat sonrasında da risk oluşturabilecek olan enfeksiyon durumunun önüne geçmeyi sağlamaktadır. Kalça protezi ameliyatları sonrası, vücuttaki pıhtı atması durumunun korunması için ameliyat sonrası da 30 gün boyunca devam edilmesi gereken bir ilaç tedavisi uygulanmalıdır. Kalça protezini oluşturan parçalar zamanla sürekli sürtünmenin etkisiyle aşınmaya başlar. Bu aşınmanın yarattığı etkilere karşı vücut, protezin bağlı olduğu kemikten ayrılmasına sebep olabilir ve bu durumda protezde gevşeme durumu meydana gelebilir. Bütün bu etkilerin sonucunda tekrar şiddetli ağrılar ve hareket zorlukları ortaya çıkabilir.

Günümüz teknolojik şartlarında, bir kalça protezinin en sağlıklı kullanım ve dayanma süresi 20- 25 yıl olarak ortaya koyulmaktadır. Bu sürecin sonunda, protezin oturtulduğu kemik yüzeyinde bir gevşeme oluşmaya başlamaktadır. Bu durumda ilk protezin çıkarılıp ikinci protezin takılması gerekmektedir. Belirtilmelidir ki, ikinci protezin dayanma ve kullanılabilme süresi daha kısa olmaktadır.