Metroport Busidence, Bahçelievler Mah. E5 Üzeri, Daire: 502 Bahçelievler / İstanbul
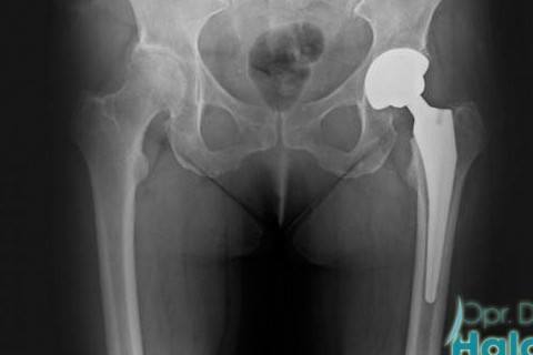
Kalça Protezi

Kalça Protezi

Kalça Protezi

Kalça eklemi insanın oturup kalkması, yürümesi, dik durması gibi birçok fiziksel aktiviteye olanak sağlaması adına büyük önem taşımaktadır. Özellikle ileri yaş durumunun sebep olduğu kalça eklemi deformasyonlarında protez uygulaması ile şikayetler ortadan kalıdırılmaktadır.

Kalça Eklemi Yapısı

Kalça eklemi vücudun en büyük eklemi olma özelliğinin yanı sıra asetabulum ve femur başından oluşan bir fiziksel yapıya sahiptir. Eklemi oluşturan çanak ve top kemiklerinin arasında ise hareketleri kolaylaştıran ve pürüzsüz bir yapıya sahip olan eklem kıkırdağı bulunmaktadır.

Kalça eklemi iç dokusunu sinovial membran ad verilen bir sıvı oluşturmaktadır ve bu sıvı eklem hareketlerini kolaylaştırmaktadır. Vücut ağırlığının kaldırılması ile eğilme, oturma kalkma ve dik durma gibi görevlerinin yaşam içerisinde sürekli aktif rol alması nedeni ile birtakım problemler yaşanabilmektedir.

Genellikle ağrıya sebep olan bu problemlerden birkaçı şu şekilde sıralanabilmektedir;

- Avaskuler Nevroz: kalça çıkığı ya da birtakım benzer problemler nedeni ile kalça eklemindeki femur başının deformasyona uğraması olarak tanımlanmaktır. Bunun sonucunda kemik yüzeyinde çökme ile artrit oluşmaktadır.

- Romatoid Artrit: İmun bir hastalık olan romatid artrit; eklem içi sıvısının kalınlaşmasına neden olmakta ve kıkırdağın ciddi hasarlar almasına neden olmaktadır.

- Osteoartrit: genellikle ileri yaştaki kişilerde görülen bu problem genetik yatkınlığa dayalı ve yaşlanmayla birlikte eklem kemiklerinin ve kıkırdak yapılarının aşınması olarak tanımlanmaktadır.

Kalça Protezi Nedir?

Kalça eklemi insan vücudunda en büyük eklemdir. Bununla birlikte vücut ağırlığının büyük bir kısmını taşıması ve gün içerisinde sürekli aktif olması nedeni ile zaman içerisinde aşınmakta ve yaşlanmaktadır. Gerek kireçlenme problemleri, gerekse kırılma ya da avaskuler nevroz problemleri kalça eklemindeki kemik ve kıkırdak dokunun aşınması ve zayıflaması sonucunda gelişmektedir. 

Kalça kireçlenmesi, kalça kırıkları ve avaskuler nevroz nedeniyle kalça protezi yapılır. Kalçadaki kireçlenme ilerlediyse, hayat kalitenizi düşürdüyse total kalça protezi zamanı gelmiş demektir. Ameliyat kararını doktor değil hasta verir. 

Kalça protezi son yıllarda çokça başvurulan bir ortopedik tedavi yöntemdir. Farklı materyallerden birleşiminden tasarlanan kalça protezleri, insan dokusu ile tam uyumlu olmaktadır ve herhangi bir alerjik reaksiyona neden olmamaktadır.

Kalça Protezine Hangi Durumlarda Gerek Duyulur?

Kalça protezi ameliyatına; hasta cerrahi dışı tedavi yöntemlerinden fayda sağlanamadığı durumlarda ihtiyaç duyulmaktadır. Bu durumda genellikle 50 yaş üzerindeki hastalar tercih edilmektedir. Aynı zamanda eklem kireçlenmesinin nedenine bağlı olarak daha erken yaşlarda da total kalça protezi ameliyatı uygulanmaktadır.

Kalça protezi ameliyatına ihtiyaç duyulan durumlar şu şekilde sıralanabilmektedir;

- Kalça çıkığı

- Kalça kireçlenmesi

- Travmatik nedenler ile kalça ekleminin deforme olması

İdeal Kalça Protezi Yaşı

Kalça eklemi problemleri genellikle ileri yaşlarda görülmektedir. Özellikle kıkırdak aşınması olarak tanımlanan kireçlenme problemleri 50 yaş üzerindeki kadınlarda görülmektedir. Eklemlerin deformasyona uğramasının başlıca nedenleri; travmatik olaylar, kemik erimesi, menopoz ve eklemlerin yaşlanmasıdır. Kalça kemiğinin güçlendirilmesi için egzersizler, fizik tedavi uygulamaları ve takviye ilaçların yeterli olmadığı durumlarda hastanın arzusuna göre kalça protezi ameliyatı uygulanabilmektedir. Her yaşta uygulanabilmesi mümkün olan protez ameliyatları genellikle 60 yaş üstü hastaların tercih ettiği tedavi yöntemidir. 

Kalça protezi ameliyatının ileri yaştaki hastalarda uygulanmalarının nedeni; kalça eklemine yerleştirilen protezin de belli bir ömrü olmasıdır. Günümüzde uygulanan protezlerin ömrü genellikle 20 ila 25 yıldır. Bu süreç sonrasında hastanın yeniden kalça protezi ameliyatı olması ve yerleştirilen protezin yenisi ile değiştirilmesi gerekmektedir. 

Kalça Protezlerinin Kullanım Süresi Nedir?

Kalça protezi ameliyatı sonrasında protezlerin kullanım süreleri 20-25 yıl olarak belirtilmektedir. Belirtilen sürenin üstünde kullanımda protezde gevşeme ya da yıpranma durumları ortaya çıkmaktadır. Bu durumlar söz konusu olduğunda, protezin değişimi gerekmektedir. Kalça ameliyatı sonrasında düzenli olarak protez kontrolü yapılmalı ve görüntüleme yöntemleri ile yıpranma durumu gözlemlenmelidir.

Kalça Protezinin Yan Etkileri

Kalça protezi ameliyatında da her cerrahi uygulamada olduğu gibi birtakım risk faktörleri bulunmaktadır. Bu risklerden en önemlisi protezin enfeksiyon kapması ya da kireçlenme olan bölgenin iltihaptan iyi bir şekilde arındırılamaması sonucunda protezin kemik ve kıkırdak doku ile kaynaşamamasıdır. Bu nedenle protez ameliyatı fonksiyonel özelliğini kaybetmektedir. Diğer risk faktörleri ise; anestezi uygulamasına bağlı problemler, kanama ve pıhtı riskleri, protezin yanlış şekilde uygulanışı nedeni ile yaşanan problemler, ameliyat sonrasında ağrıların devam etmesi gibi risklerdir. 

Kalça protezi ameliyatı sürecinde enfeksiyon ve anormal kanama gibi problemler de yaşanabilmektedir. Bunun sonucunda da protezin kemik doku ile kaynamaması ve protezin işlevini yerine getirememesi gibi durumlar söz konusu olabilmektedir. 

Kalça protezi ameliyatının yan etkilerinin önüne geçebilmek adına doktor seçiminin özenli bir şekilde yapılması ve doktor önerilerine eksiksiz bir şekilde uyulması gerekmektedir. 

Kalça Protezi Çeşitleri

Kalça protezlerini iki gruba ayırabiliriz. Total protez tarzını genelde diz protezinden tanıyoruz. Bu protez, bu alanda en sık kullanılan protez yöntemidir. Bu teknikte kalça kemiği kadar yuva da değişir. Bir tek kalça kemiğinin onarılması ise parsiyel teknik olarak adlandırılıyor. Ortopedik cerrah, hastanın özel durumunda bağlı olarak bu iki teknikten hangisine karar vermesi gerektiğini analiz edecektir.

Total Kalça Protezi

Total kalça protezi ameliyatı açık yöntem ile uygulanmaktadır. Cerrahın tercihine bağlı olarak uygun konumda kesi açılmaktadır. Ameliyat süresi yaklaşık 2 ila 2,5 saattir. Hasta ameliyat sonrasında ilk 3 gün hastanede yatırılmaktadır.

Hastanede olunan süreçte hasta mutlaka ayağa kalıdırılıp yürütülmektedir. Böylece hasta çok daha erken dönemde hayata dönebilmektedir. 

Kalça Protezi Fiyatları

Kalça protezi fiyatlarında belirleyici faktörler aşağıdaki şekilde sıralanabilmektedir; 

  •  Kalça protezinin hangi maddeden tasarlandığı
  •  Kalça protezinin çeşidi
  •  Kalça protezi ameliyatını uygulayacak doktor

Kalça protezi fiyatları elbetteki hastadan hastaya göre farklılık göstermektedir. Önceki yıllarda protez ömürlerinin kısa olması sebebi ile genellikle ileri yaşlardaki hastalarda uygulanması uygun görülen kalça protezleri günümüzde protez ömürlerinin 25 yıla kadar uzaması sayesinde daha genç yaştaki hastalara da uygulanabilmektedir. 

Op. Dr. Haldun Seyhan

İstanbul Ortopedi Uzmanı