Bize Ulaşın
Kalça eklemi insanın oturup kalkması, yürümesi, dik durması gibi birçok fiziksel aktiviteye olanak sağlaması adına büyük önem taşımaktadır. …
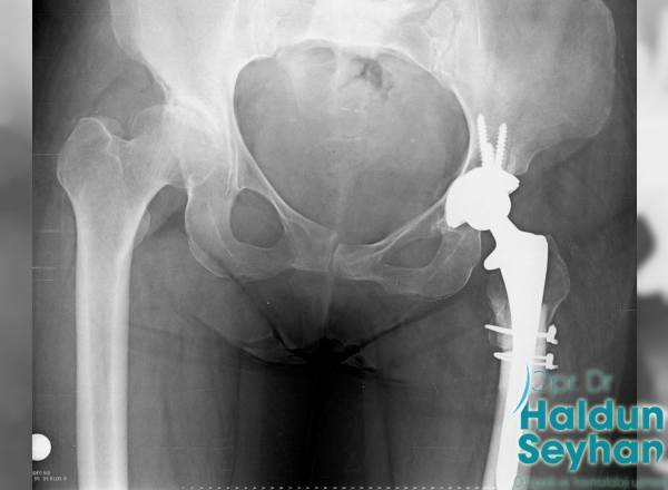
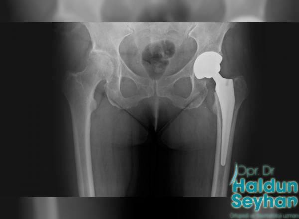
Kalça protezi, çeşitli sebeplerle bozulma yaşanmış eklem yüzeyine yerleştirilen, kobalt-krom veya titanyumdan oluşan ana parçalar olmak üzere, bu parçaların eklemleştiği yerde polietilen, metal ya da seramik parçalardan oluşmaktadır. …
Kalça protezi ameliyatı farklı şekillerde yapılabilir. Yaşı ilerleyen hastalarda kemik kalitesi düşük olabilir. Bu hastalara protez kemik çimentosu adı verilen bir dolgu maddesi yardımıyla işlem yapılabilir. …
Total kalça artroplastisi, eklemin yumuşak hareketini sağlamak için metal, seramik ve polietilenden yapılmış yıpranmış eklem yüzeylerini özel olarak tasarlanmış parçalarla kaplayarak yapay bir eklem oluşturmak için tasarlanmıştır. …